Keep up to date with everything IIB, sign up to our mailing list

Thank you for signing up to our mailing list.

Please fill out all required fields

First Name

Last Name

Email

Fax

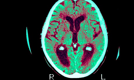
Blood test breakthrough in search for Alzheimer’s cure

Back to all news

alz